Chuyện gì đang xảy ra trong viêm phổi mùa đông

Table of Contents

Danh mục bài viết

1. Viêm phổi vào mùa đông là gì?
2. Các phương pháp phổ biến để ngăn ngừa viêm phổi
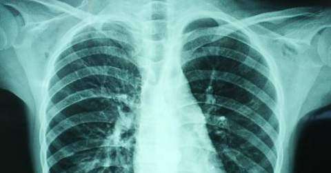
3. Kiểm tra viêm phổi ở trẻ em

Viêm phổi vào mùa đông là gì? 1. Nguyên nhân gây viêm phổi vào mùa đông: Nhiễm trùng do virus

viêm phổi thường đề cập đến viêm phổi do nhiễm trùng các vi sinh vật khác nhau. Các vi sinh vật gây viêm phổi không chỉ bao gồm vi khuẩn mà còn cả virus. Những vi sinh vật này có thể tồn tại trong môi trường xung quanh chúng ta, và cũng có thể bị xâm chiếm trong cơ thể chúng ta, chẳng hạn như miệng, khoang mũi, v.v … Khi sức đề kháng của cơ thể giảm, chẳng hạn như làm việc quá sức hoặc lạnh, rất dễ bị viêm phổi.

Đặc biệt, các nhóm đặc biệt có sức đề kháng yếu, như trẻ em, người già hoặc bệnh nhân mắc các bệnh tiềm ẩn như bệnh tiểu đường và khối u ác tính. Bởi vì những người cần dùng glucocorticoids và thuốc ức chế miễn dịch trong một thời gian dài trong các bệnh khác dễ bị viêm phổi, đặc biệt là viêm phổi do virus và nấm.

2. Nguyên nhân của viêm phổi vào mùa đông: viêm phổi do Mycoplasma

Nó được gây ra bởi bệnh phế quản viêm phổi và là nguyên nhân phổ biến của bệnh viêm phổi này.

3. Nguyên nhân của viêm phổi vào mùa đông: viêm phổi do nấm

như bệnh phân cấp, aspergillus, actinomycetes, v.v. là những nguyên nhân phổ biến của viêm phổi.

4. Nguyên nhân của viêm phổi vào mùa đông: viêm phổi do mầm bệnh khác gây ra cũng là nguyên nhân phổ biến của viêm phổi, như Rickettsia (như Q-Rickettsia), Chlamydia (như Chlamydia psittiscia) Tsomia phổi, bệnh sán máng), v.v … Những người có khả năng miễn dịch thấp (như bệnh nhân AIDS) dễ bị nhiễm trùng như Bumbleworms phổi, Legionella, Mycobacterium Aphrodisiac, bệnh lao, nhiễm độc tố và nhiễm trùng khác trong phổi.

Các phương pháp phổ biến để ngăn ngừa viêm phổi

1. Khử trùng phần mềm bảng

Phương pháp khử trùng ưa thích là hấp. Hơi nước có thể đông lại và biến tính các protein của cơ thể vi khuẩn, và hầu hết các mầm bệnh sẽ chết sau 15 đến 30 phút hấp. Thời gian khử trùng nên được tính sau khi nước sôi. Khi đun sôi, hãy cẩn thận rằng tất cả các vật thể phải được ngâm hoàn toàn trong nước. Ở các khu vực cao nguyên, do áp suất khí quyển thấp, thời gian hấp phải được kéo dài.

2. Khử trùng đồ nội thất

disin các cửa, cửa sổ, sàn nhà và đồ nội thất lớn trong nhà, bạn có thể sử dụng chất khử trùng để lau và khử trùng, chẳng hạn như sử dụng thuốc tẩy trắng 10% đến 20%, tuy nhiên, nó không được sử dụng cho các sản phẩm của nó. Ngoài ra, khi sử dụng dung dịch axit lithocarbonic đậm đặc với sự ăn mòn mạnh mẽ, cần phải cẩn thận để ngăn chặn sự giật gân trên da và thậm chí cả mắt, gây ra tổn thương do tai nạn.

3. Quần áo, nắp chăn, giày, vớ, khăn, vv thường được làm sạch bằng nước bằng nước ấm hoặc nước sạch để loại bỏ vi khuẩn, bụi bẩn và bụi bẩn được hấp phụ trên bề mặt của vật thể; Nếu đó là dụng cụ quần áo của bệnh nhân, các loại thuốc thích hợp cần được thêm vào theo tình huống để tăng cường hiệu quả khử trùng. Ví dụ, bệnh nhân bị viêm gan có thể ngâm 0,1% axit peracetic hoặc dung dịch làm rõ thuốc tẩy 1% đến 2% trong 30 đến 60 phút, sau đó rửa sạch bằng nước sạch; Những người khác có thể được sử dụng làm sul, kali permanganate, v.v. Văn hóa đờm và kiểm tra độ nhạy của thuốc. Thông qua nuôi cấy đờm, các loại vi khuẩn gây bệnh có thể được phát hiện, để có thể chọn các loại thuốc thích hợp để điều trị. Độ nhạy của thuốc được đo bằng các thí nghiệm độ nhạy của thuốc để sử dụng thuốc chính xác và hiệu quả để điều trị. Ngoài ra, trong giai đoạn dịch bệnh viêm phổi Mycoplasma, các xét nghiệm tập hợp lạnh nên được thực hiện để chẩn đoán xem nhiễm trùng mycoplasma có gây ra hay không. Xét nghiệm kết tụ lạnh chủ yếu được sử dụng để chẩn đoán phụ trợ của viêm phổi không điển hình nguyên phát gây ra bởi viêm phổi do Mycoplasma.

2. Thói quen máu, thói quen máu là xét nghiệm máu cơ bản và tổng quát nhất. Máu bao gồm hai phần: tế bào lỏng và hữu hình. Máu thường xuyên kiểm tra phần tế bào của máu. Bằng cách quan sát những thay đổi về số lượng và phân phối hình thái, bệnh được đánh giá. Đây là một trong những phương pháp kiểm tra phụ trợ thường được sử dụng cho các bác sĩ để chẩn đoán tình trạng này. Điều này bao gồm tổng số tế bào bạch cầu và bạch cầu trung tính, tế bào lympho, bạch cầu ái toan, vv bạch cầu là vũ khí phòng thủ quan trọng trong cơ thể con người. Khi mầm bệnh xâm chiếm cơ thể, các tế bào bạch cầu có thể thực bào và loại bỏ mầm bệnh. Do đó, bản chất của nhiễm trùng, tình trạng phản ứng cơ thể và tiên lượng có thể được ước tính gần như từ những thay đổi trong tổng số, phân loại và hình thái của bạch cầu. Tổng số tế bào bạch cầu ở trẻ em bị viêm phổi do vi khuẩn chủ yếu tăng, thường lên tới (15-30) × 109/L và bạch cầu trung tính là từ 60% đến 90%; Trong viêm phổi do virus, tổng số tế bào bạch cầu chủ yếu là bình thường hoặc thấp.

Hãy bình luận đầu tiên

Để lại một phản hồi

Thư điện tử của bạn sẽ không được hiện thị công khai.


*